BLS map
Micarea melaena Pilocarpaceae
Micarea melaena

Growth type crustose
Chemical results: Thallus K-, C+/-red, Pd-, apothecial sections C-

Usually found on stumps, fallen trees and on decaying timber and fences but can also occur on acidic bark and peaty turf.

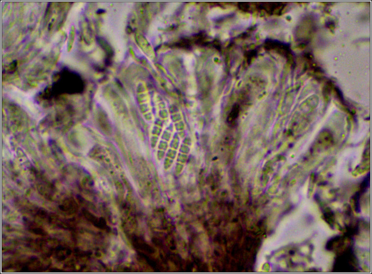
Can be variable, thallus of granular areoles, buff, dull green or dark grey-green but often +/- blackish and scurfy. Apothecia black, convex or +/- globose, with the internal pigmentation variable. Hymenium usually blue-green but sometimes purplish, hypothecium usually purplish-brown. Asci are 8-spored, spores (1-)3(-5) septate, 12-21 x 4-5.5 µm. Pycnidia rare, the macroconidia curved, 0-7 septate, 18-33 × 1-1.5 µm. Micrographs below

Similar: On bark could be confused with dark forms of M. prasina s. lat


Micarea melaena

Micarea melaena

Micarea melaena

Micrographs
Micarea melaena

Micarea melaena

Micarea melaena
Micarea melaena
Photographs: Lychett Heath, Dorset. October 2025

All images used are copyright. Please contact me if you find errors.